
日本口腔インプラント学会専修医によるインプラント治療
当院には、日本口腔インプラント学会のインプラント専修医が在籍しております。
インプラント治療には高い専門性と豊富な経験が求められるため、全ての歯科医師が同じ質のインプラント治療を行えるわけではありません。歯科医師の技術力や経験などを踏まえ、ご自身が納得してインプラント治療を受けられる歯科医師を選ぶことが大切です。当院では、日本口腔インプラント学会の専修医が安全性の高い、的確な治療を行うように努めておりますので、まずはお気軽にご相談ください。
インプラント治療
むし歯や歯周病、病気、事故などで歯を失ったり、先天的に歯の本数が少なかったりすると、笑顔に自信を持てない、老けて見えるのがつらい、などの悩みを抱えてしまう方が大勢いらっしゃいます。当院では、このような方の健やかな日常を取り戻すべく、インプラント治療をご提案しております。インプラント治療とは、顎の骨に人工歯根(インプラント)を直接埋め込んで土台を作り、その上に人工歯を取り付けることで天然歯に近い噛み心地と自然な見た目を実現する治療法です。噛み心地が自然で、天然歯のような白さと透明感を再現できるほか、周りの歯を削ることなく治療を受けていただけます。その一方で、外科手術が必要、保険適用の治療と比べて費用がかかる、治療期間が長いといったデメリットもあります。
入れ歯との違い
入れ歯は、外科処置が不要で比較的短期間で欠損部を補うことが出来る治療ですが、噛み心地が良くない、入れ歯が合わずに痛い、壊れてしまったなど長年使用していると細かい調整が必要となるデメリットもあります。インプラントは外科的な処置が必要にはなりますが自然歯のような快適な噛み心地と細かな調整が不要というメリットがあります。(定期的に歯科医院でのクリーニングをしないと歯周炎になるリスクがあります。)
ブリッジとの違い
ブリッジは、歯を失ったところの両側の歯を削り、橋をかけるように人工歯を装着する治療法です。違和感が少ないものの、インプラントほどの快適性はありません。また、健康な歯を削る必要があるうえに、土台となる歯への負担が大きい点にも注意が必要です。
当院のインプラント治療
- インプラント治療は顎の骨に直接人工の歯根を埋め込み、セラミック冠等を被せ、自分の歯と同じように使う事ができます。ブリッジとは違い、前後にある隣の歯を削る必要がありません。
- 歯科用CTを導入し、歯根や骨の状態を3次元的に診断し、適切に治療していきます。
- 上顎の骨の高さが足りない場合、CGF等の骨再生療法にてソケットリフト、サイナスリフト等により対応します。
*再生医療等提供状況定期報告書を厚生局へ提出しています。(年2回)
当院の安心・安全なインプラント治療の理由
当院では、CTスキャンで取得した口腔内や顎の骨、神経・血管の位置などのデータを元に、シミュレーションソフトでインプラントの埋入位置や角度を決定していきます。コンピューター上でインプラント治療の計画を立てられるため、より安全性の高い治療が可能になります。また、コンピューター上でシミュレーションした際には、ガイドと呼ばれるテンプレートを作製します。ガイドを治療箇所の歯茎に装着すると、シミュレーション通りの位置・角度・深さでインプラントを埋入できます。このように安全性が高く、的確な治療が可能になったことで、歯茎を大きく切開する必要がなくなりました。小さな穴をあけてインプラントを埋入できるので、出血や痛み、腫れ、感染リスクを大きく抑えることができます。
CGF再生療法
CGFとは、専用の遠心分離機で、患者様ご自身の血液を遠心分離して、生成したフィブリンと傷の治癒や組織の再生に有効な血小板や成長因子を濃縮した、ゲル状の塊です。 つまり「完全自己血液由来のフィブリンゲル」です。 歯周外科手術、歯牙移植術、歯牙再植術、歯根嚢胞摘出術、インプラント治療等で、骨が足りない場所に、 CGFを填入し、または膜として使用し、骨の再生・治癒を促進します。添加物を入れずに、ご自身の血液のみで生成できるので、アレルギーや感染のリスクが、軽減しより安全に、治癒が促進し、患者様のお体への負担が少ない治療が期待できます。インプラントの症例
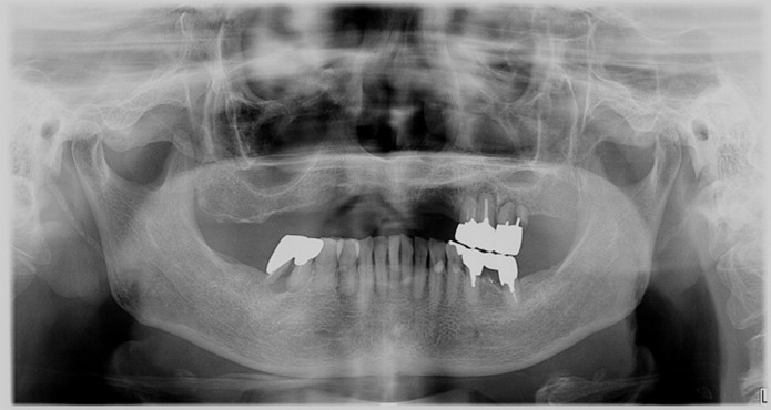
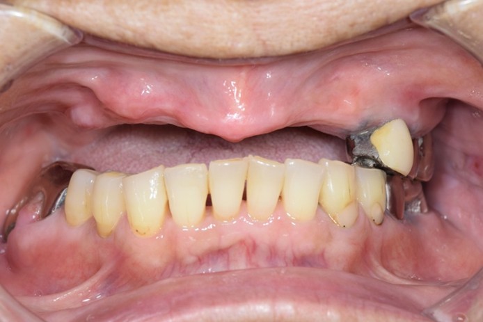
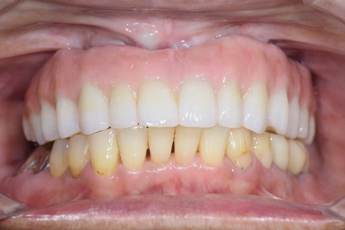
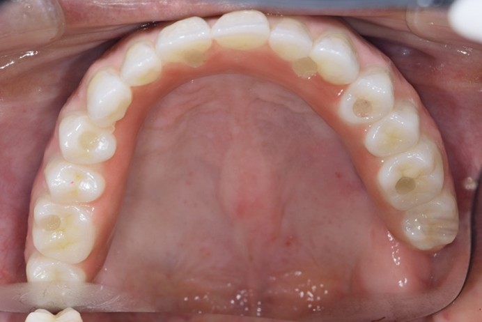
症例1
| 術前 | 術後 |
|---|---|
![]() |
![]() |
![]() |
![]() |
![]() |
![]() |
| 項目 | 詳細 |
|---|---|
| ご来院時の主訴 | 入れ歯を入れたが落ちてくる。 インプラントの話を聞いたので入れ歯じゃなくてインプラントをしたい。 |
| 年代・性別 | 70代 女性 |
| 治療部位 | 上顎7〜7 |
| 治療費用 | 2,420,000円 |
| 手術回数 | 2回 |
| 治療期間 | 25か月 |
| 手術時間 | 90分×2回 |
| 治療回数 | 28回 |
インプラント治療の流れ
1カウンセリング
すぐに治療するのではなく、歯を失った原因を突き止めたうえで、インプラント治療が適しているかどうか確認いたします。患者さまのお話をお伺いし、インプラント治療に対する不安や疑問を取り除いたうえで次の工程へ進みます。不明点や疑問点はお気軽にお尋ねください。
2精密な検査
口腔内撮影やレントゲン検査、血液検査などでお口の中と全身の状態を確認いたします。検査結果に問題がなければ、インプラント治療を開始します。
3診断に基づき治療計画を立案
インプラントの本数、治療期間、費用などをわかりやすくご説明したうえで、検査結果に基づいた治療計画をご提案いたします。当院では、インフォームドコンセントを徹底し、患者さまの同意を得たうえで治療を開始しておりますので、不安や疑問がありましたらお気軽にお申し出ください。
4安全な手術のための前処置
インプラント治療の安全性を高めるために、事前にむし歯や歯周病の治療、骨の再生治療などの前処置を行っております。従来では、顎の骨が少ない場合はインプラント治療を適用できませんでした。当院では骨の再生治療を行っておりますので、顎の骨が少ない方もインプラント治療を受けていただける可能性があります。
5インプラント埋入手術
インプラントの埋入位置をシミュレーションした後に、局所麻酔をしたうえで顎の骨にインプラントを埋め込みます。お口や身体の状態によっては、1回目の手術でインプラントを埋入し、顎の骨と結合してから歯茎を再度切開し、メタル製土台を装着します。
6治癒期間
インプラントと顎の骨が結合するまでには約2~6ヶ月かかります。顎の骨の質や量、体調などで治癒期間が変動します。食事や会話に支障をきたすのであれば、仮歯を装着することも可能です。
7上部構造の製作
上顎は4~6ヶ月、下顎は2~3ヶ月が経過した後、型取りをして人工歯を作製します。型取りから1~2週間で人工歯を装着し、噛み合わせを調整します。
インプラント治療の保証について
インプラント治療は、失った歯の機能と見た目を回復できる優れた治療法ですが、「治療後にもしトラブルが起きたら?」という不安を感じる方も少なくありません。
だからこそ、治療内容や費用だけでなく、治療後の保証体制までしっかり確認することが大切です。
当院では、インプラント治療を長く安心してお使いいただくために、治療後の万が一に備えたインプラント保証制度をご用意しています。
適切なメンテナンスと定期的な通院を行っていただくことで、再治療時の費用負担を軽減し、将来にわたって安心してインプラントと向き合っていただけます。
保証内容・保証期間・適用条件など、詳しい内容は以下のページでご案内しています。
治療前の不安を解消し、納得したうえで治療を選択していただくために、ぜひご確認ください。
インプラント治療の費用
| 内容 | 費用 |
|---|---|
| 初診相談 | 無料 |
| 検査・診断料 | 33,000円 |
1次オペ(インプラント体埋入)
|
275,000円〜/1本
|
2次オペ(アパットメント込)
|
55,000円〜/1本
|
| 上部構造 | 55,000円~165,000円 |
| 骨造成 | 55,000円~ |







インプラントは人工物のため、むし歯にはなりません。しかし、周りの歯茎は歯周病になる恐れがあるため、継続的なメンテナンスが必要です。3~6ヶ月に1回のペースで歯のクリーニングや口腔内チェックに通っていただくことで、インプラントを長期的に維持できます。また、ご自身で行うセルフケアの方法も重要ですので、しっかりとアドバイスさせていただきます。



